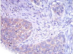
TH Mouse Monoclonal antibody[1B8D2]

AccuSift
TYH; DYT14; DYT5b
SKU Name Unit Price Delivery QTY
AC3640 TH Mouse Monoclonal antibody[1B8D2] 100ug $367 10days
AC3640 TH Mouse Monoclonal antibody[1B8D2] 200ug $660.6 10days

The protein encoded by this gene is involved in the conversion of tyrosine to dopamine. It is the rate-limiting enzyme in the synthesis of catecholamines, hence plays a key role in the physiology of adrenergic neurons. Mutations in this gene have been associated with autosomal recessive Segawa syndrome. Alternatively spliced transcript variants encoding different isoforms have been noted for this gene.


Aliases:    TYH; DYT14; DYT5b    

Entrez GeneID:    7054    

Swissprot:    P07101    

WB Predicted band size:    58.6kDa    

Host/Isotype:    Mouse IgG1    

Species Reactivity:    Human,Rat    

Immunogen:    Purified recombinant fragment of human TH (AA: 44-208) expressed in E. Coli.    

Operation

WB    1/500 - 1/2000    

IHC    1/200 - 1/1000    

IF/ICC    1/200 - 1/1000    

FCM    1/200 - 1/400    

ELISA    1/10000    

References

Dimethyl phthalate Competitive Antibody Pair
Tricaine methanesulfonate Competitive Antibody Pair
Dibutyl phthalate Competitive Antibody Pair
Extreme Thermostable single-strandDNA Binding Protein
Hydroxyethyl Cellulose
Methyl Vinyl Ether-Maleic Anhydride Copolymer
Polyethylene Glycol 8000
Polyoxyethylene ether POLYOX WSR-301
Benzothcyanide Competitive Antibody Pair
2-mercapto-benzothiazole Competitive Antibody Pair
Ethoxyquin Competitive Antibody Pair
Polybrominated diphenyl ethers Competitive Antibody Pair
Dimethylyellow Competitive Antibody Pair
Erythrosine Competitive Antibody Pair
Amaranth Competitive Antibody Pair
MethylMercury Chloride Competitive Antibody Pair
Phenylethylamine A Competitive Antibody Pair
Lambda-Cyhalothrin Competitive Antibody Pair
Diclofop-methyl Competitive Antibody Pair
Chlorimuron-ethyl Competitive Antibody Pair
Ethametsulfuron Competitive Antibody Pair
Bensulfuron-methyl Competitive Antibody Pair
Thidiazuron Competitive Antibody Pair
Thiacloprid Competitive Antibody Pair
Diafenthiuron Competitive Antibody Pair
Diethofencarb Competitive Antibody Pair
Isoprothiolane Competitive Antibody Pair
Pyrimethanil Competitive Antibody Pair
Dimethachlon Competitive Antibody Pair
Dimethomorph Competitive Antibody Pair
Pendimethalin Competitive Antibody Pair
Kresoxim-methyl Competitive Antibody Pair
Triapenthenol Competitive Antibody Pair
1-Naphthaleneacetic acid Competitive Antibody Pair
Beta-cyfluthrin Competitive Antibody Pair
Bifenthrin Competitive Antibody Pair
Imidaclothiz Competitive Antibody Pair
Omethoate Competitive Antibody Pair
Thiamethoxam Competitive Antibody Pair
Clothianidin Competitive Antibody Pair
Fenthion Competitive Antibody Pair
Fenitrothion Competitive Antibody Pair
Chlorothalonil Competitive Antibody Pair
Thiophanate-Methyl Competitive Antibody Pair
Dichlorodiphe nyltrichloroethane Competitive Antibody Pair
Fenpropathrin Competitive Antibody Pair
Isofenphos-methyl Competitive Antibody Pair
Methyl parathion Competitive Antibody Pair
Methomyl Competitive Antibody Pair
Thiamphenicol Competitive Antibody Pair
Gamithromycin Competitive Antibody Pair
Ethopabate Competitive Antibody Pair
Erythromycin Competitive Antibody Pair
Tulathromycin Competitive Antibody Pair
Sulfadimethoxine Competitive Antibody Pair
Sulfamethazine Competitive Antibody Pair
Azithromycin Competitive Antibody Pair
Clarithromycin Competitive Antibody Pair
Trimethoprim Competitive Antibody Pair
Methaqualone Competitive Antibody Pair
Benzthiazide Competitive Antibody Pair
Methotrexate Competitive Antibody Pair
Hydrochlorothiazide Competitive Antibody Pair
Phenolphthalein Competitive Antibody Pair
Thyroglobulin Antibody pair
Diethylstilbestrol Competitive Antibody Pair
Thyroxine Antibody pair
Betamethasone Competitive Antibody Pair
Methyltestosterone Competitive Antibody Pair
Dexamethasone Competitive Antibody Pair
11-Dehydrothr omboxane B2 Competitive Antibody Pair
Health Food & Cosmetics Testing Kit
T4(thyroxine)Mouse Monoclonal antibody,HRP labeled
PTH Mouse Monoclonal antibody[2C7D3]
PTH Mouse Monoclonal antibody[8C5H9]
PTH1R Mouse Monoclonal antibody[4D2A5]
ACTH Mouse Monoclonal antibody[2B4A1]
ACTH Mouse Monoclonal antibody[3A4H4]
THAP1 Mouse Monoclonal antibody[2F1B4]
THAP1 Mouse Monoclonal antibody[8D16]
THAP11 Mouse Monoclonal antibody[3F3A4]
THBS1 Mouse Monoclonal antibody[5E2E2]
Thioredoxin (TRX) Mouse Monoclonal antibody[1H6H6]
THPO Mouse Monoclonal antibody[1B115]
THY1 Mouse Monoclonal antibody[7E1B1]
MTHFR Mouse Monoclonal antibody[5D3F3]