| SKU | Name | Unit | Price | Delivery | QTY |
|---|---|---|---|---|---|
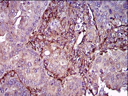
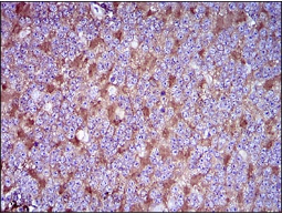
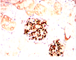
| AC3647 | THY1 Mouse Monoclonal antibody[7E1B1] | 100ug | $367 | 10days |
|
| AC3647 | THY1 Mouse Monoclonal antibody[7E1B1] | 200ug | $660.6 | 10days |
|

WeChat