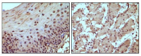
RB Mouse Monoclonal antibody[7E4B8]

AccuSift
RB; pRb; OSRC; pp110; p105-Rb; RB1
SKU Name Unit Price Delivery QTY
AC3365 RB Mouse Monoclonal antibody[7E4B8] 100ug $367 10days
AC3365 RB Mouse Monoclonal antibody[7E4B8] 200ug $660.6 10days

The Rb protein regulates differentiation, apoptosis, and cell cycle control by coordinating the cell cycle at G1-S with transcriptional machinery. During G1, cyclin D-dependent kinase-mediated phosphorylation of Rb at Ser-795 marks the conversion of Rb from a transcriptionally repressive, hypophosphorylated state to an inactive, phosphorylated state, which may be sustained through mitosis by differential phosphorylation of up to 16 putative serine or threonine residues. Pediatric cancer retinoblastoma and the formation of other human tumors can be attributed to mutations in the retinoblastoma tumor suppressor gene(Rb).


Aliases:    RB; pRb; OSRC; pp110; p105-Rb; RB1    

Entrez GeneID:    5925    

Swissprot:    P06400    

Host/Isotype:    Mouse IgG1      

Species Reactivity:    Human    

Immunogen:    Purified recombinant fragment of human RB expressed in E. Coli.  

Operation

IHC    1/200 - 1/1000    

ELISA    1/10000    

References

Yellow carboxyl fluorescent microspheres
Red carboxyl fluorescent microspheres
RBC antibody
Diethofencarb Competitive Antibody Pair
Fenoxycarb Competitive Antibody Pair
Iprovalicarb Competitive Antibody Pair
Propamocarb Competitive Antibody Pair
Metolcarb Competitive Antibody Pair
Isoprocarb Competitive Antibody Pair
Aldicarb Competitive Antibody Pair
Carbofuran Competitive Antibody Pair
Carbaryl Competitive Antibody Pair
Isocarbophos Competitive Antibody Pair
Carbendazim Competitive Antibody Pair
Imidocarb Competitive Antibody Pair
4,4'-dinitrocarbanil ide Competitive Antibody Pair
Carbadox Competitive Antibody Pair
Dog RBC Goat Polyclonal Antibody
Cat RBC Goat Polyclonal Antibody
Barbital Competitive Antibody Pair
Berberine Hydrochloride Competitive Antibody Pair​
Phenobarbital Competitive Antibody Pair
Carbamazepine Competitive Antibody Pair​
RBP Rabbit Polyclonal Antibody
IL10RB Mouse Monoclonal antibody[1D12C]
IL10RB Mouse Monoclonal antibody[3A6C2]
IL10RB Mouse Monoclonal antibody[5B3F2]
ADRB2 Mouse Monoclonal antibody[4A6C9]
ADRB2 Mouse Monoclonal antibody[5G3B5]
GLRB Mouse Monoclonal antibody[3B8A8]
RB1 Mouse Monoclonal antibody[2A11D]
RB1 Mouse Monoclonal antibody[2A146]
RB1CC1 Mouse Monoclonal antibody[2C9A1]
RBBP7 Mouse Monoclonal antibody[2A10C]
RBFOX2 Mouse Monoclonal antibody[1E7G1]
RBFOX3 Mouse Monoclonal antibody[1H3B2]
RBFOX3 Mouse Monoclonal antibody[5A4B9]
RBL2 Mouse Monoclonal antibody[2C8A8]
RBMXL3 Mouse Monoclonal antibody[1B6F4]
RBP4 Mouse Monoclonal antibody[4C2A5]
PDGFRB Mouse Monoclonal antibody[2G7B7]
KHDRBS2 Mouse Monoclonal antibody[3D12C]
KHDRBS2 Mouse Monoclonal antibody[7G8C1]
ERBB2 Mouse Monoclonal antibody[6C2B1]
SCARB1 Mouse Monoclonal antibody[2B2A]
ERBB2 Mouse Monoclonal antibody[6C2C1]
SCARB1 Mouse Monoclonal antibody[5E9H]
ERBB3 Mouse Monoclonal antibody[2B11D]
ERBB3 Mouse Monoclonal antibody[2F9C7]
TRBC1 Mouse Monoclonal antibody[5A8A1]
ERBB3 Mouse Monoclonal antibody[3F10F6]
TRBC1 Mouse Monoclonal antibody[5D9F1]
ERBB4 Mouse Monoclonal antibody[4E7G5]
ERBB4 Mouse Monoclonal antibody[5G6B4]
HLA-DRB1 Mouse Monoclonal antibody[5B3D2]
CIRBP Mouse Monoclonal antibody[62D22]
HLA-DRB1 Mouse Monoclonal antibody[5B3G1]
CIRBP Mouse Monoclonal antibody[6E12B3]
LILRB1 Mouse Monoclonal antibody[2G5B5]
LILRB1 Mouse Monoclonal antibody[4B5A4]
LILRB2 Mouse Monoclonal antibody[2K1]
LILRB5 Mouse Monoclonal antibody[6D3C8]