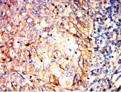
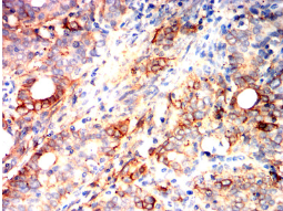
SCARB1 Mouse Monoclonal antibody[5E9H]

AccuSift
CLA1; SRB1; CLA-1; SR-BI; CD36L1; HDLQTL6
SKU Name Unit Price Delivery QTY
AC3458 SCARB1 Mouse Monoclonal antibody[5E9H] 100ug $367 10days
AC3458 SCARB1 Mouse Monoclonal antibody[5E9H] 200ug $660.6 10days

The protein encoded by this gene is a plasma membrane receptor for high density lipoprotein cholesterol (HDL). The encoded protein mediates cholesterol transfer to and from HDL. In addition, this protein is a receptor for hepatitis C virus glycoprotein E2. Several transcript variants encoding different isoforms have been found for this gene.[provided by RefSeq, Jan 2019]


Aliases:    CLA1; SRB1; CLA-1; SR-BI; CD36L1; HDLQTL6    

Entrez GeneID:    949    

Swissprot:    Q8WTV0     

WB Predicted band size:    60.8kDa    

Host/Isotype:    Mouse IgG2a    

Species Reactivity:    Human    

Immunogen:    Purified recombinant fragment of human SCARB1 (AA: Extra(33-232)) expressed in E. Coli.    

Operation

WB    1/500 - 1/2000    

IHC    1/200 - 1/1000    

FCM    1/200 - 1/400    

ELISA    1/10000    

References