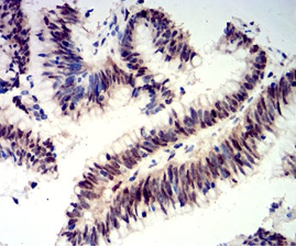
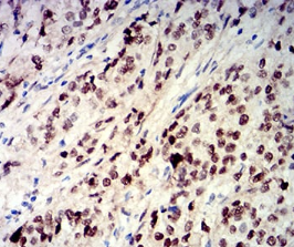
CIRBP Mouse Monoclonal antibody[62D22]

AccuSift
CIRP
SKU Name Unit Price Delivery QTY
AC1944 CIRBP Mouse Monoclonal antibody[62D22] 100ug $367 10days
AC1944 CIRBP Mouse Monoclonal antibody[62D22] 200ug $660.6 10days

CIRBP (Cold Inducible RNA Binding Protein) is a Protein Coding gene. Diseases associated with CIRBP include Cryptorchidism. Among its related pathways are Neuroscience and Translational Control. GO annotations related to this gene include nucleic acid binding and nucleotide binding. An important paralog of this gene is RBMX.



Aliases:    CIRP    

Entrez GeneID:    1153    

Swissprot:    Q14011    

WB Predicted band size:    18.6kDa    

Host/Isotype:    Mouse IgG1    

Species Reactivity:    Human    

Immunogen:    Purified recombinant fragment of human CIRBP (AA: 1-90) expressed in E. Coli.    

Operation

IHC    1/200 - 1/1000    

ELISA    1/10000    

References