CD2 Mouse Monoclonal antibody[3D1B4]

AccuSift
T11; SRBC; LFA-2
SKU Name Unit Price Delivery QTY
AC1569 CD2 Mouse Monoclonal antibody[3D1B4] 100ug $367 10days
AC1569 CD2 Mouse Monoclonal antibody[3D1B4] 200ug $660.6 10days

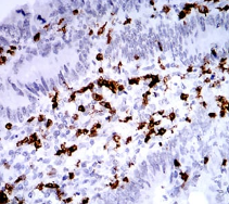
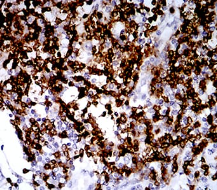
CD2 is a surface antigen of the human T-lymphocyte lineage that is expressed on all peripheral blood T cells (summarized by Sewell et al., 1986 [PubMed 3490670]). It is one of the earliest T-cell markers, being present on more than 95% of thymocytes; it is also found on some natural killer cells but not on B lymphocytes. Monoclonal antibodies directed against CD2 inhibit the formation of rosettes with sheep erythrocytes, indicating that CD2 is the erythrocyte receptor or is closely associated with it.



Aliases :   T11; SRBC; LFA-2    

Entrez GeneID:    914    

Swissprot :   P06729    

WB Predicted band size :   39.4kDa    

Host/Isotype:    Mouse IgG1    

Species Reactivity:    Human,Mouse    

Immunogen :   Purified recombinant fragment of human CD2 (AA: 25-140) expressed in E. Coli.    

Operation

WB    1/1000 - 1/4000    

IHC    1/1000 - 1/4000    

FCM    1/500 - 1/1000    

ELISA    1/10000    

References

CD2 Mouse Monoclonal antibody[3D1E3]
CD20 Mouse Monoclonal antibody[3E9D]
CD200 Mouse Monoclonal antibody[3G1C9]
CD201 Mouse Monoclonal antibody[7B7F6]
CD202B Mouse Monoclonal antibody[3F5B9]
CD203C Mouse Monoclonal antibody[4C1H2]
CD204 Mouse Monoclonal antibody[5B8H4]
CD205 Mouse Monoclonal antibody[4B16]
CD206 Mouse Monoclonal antibody[1E164]
CD206 Mouse Monoclonal antibody[4B11C]
CD207 Mouse Monoclonal antibody[1C5A5]
CD208 Mouse Monoclonal antibody[7E12C]
CD209 Mouse Monoclonal antibody[5C2A6]
CD209 Mouse Monoclonal antibody[5C2G9]
CD21 Mouse Monoclonal antibody[2D2H6]
CD210 Mouse Monoclonal antibody[4D3A9]
CD210 Mouse Monoclonal antibody[8A2A5]
CD213A1 Mouse Monoclonal antibody[8A3E3]
CD215 Mouse Monoclonal antibody[5F10D]
CD217 Mouse Monoclonal antibody[6H1B1]
CD218A Mouse Monoclonal antibody[2B7E6]
CD22 Mouse Monoclonal antibody[1A3A1]
CD22 Mouse Monoclonal antibody[2H1C4]
CD220 Mouse Monoclonal antibody[1A1G3]
CD220 Mouse Monoclonal antibody[2A4H9]
CD222 Mouse Monoclonal antibody[4F1G1]
CD222 Mouse Monoclonal antibody[7B5E51]
CD223 Mouse Monoclonal antibody[4H6A3]
CD226 Mouse Monoclonal antibody[4D8E]
CD226 Mouse Monoclonal antibody[5C3F]
CD227 Mouse Monoclonal antibody[3B10]
CD230 Mouse Monoclonal antibody[3G10G]
CD232 Mouse Monoclonal antibody[2H111]
CD232 Mouse Monoclonal antibody[3C610]
CD235a Mouse Monoclonal antibody[2D5A6]
CD239 Mouse Monoclonal antibody[5C5A6]
CD239 Mouse Monoclonal antibody[8C4E6]
CD24 Mouse Monoclonal antibody[4F4E1]
CD243 Mouse Monoclonal antibody[4G6F4]
CD244 Mouse Monoclonal antibody[4A1A6]
CD244 Mouse Monoclonal antibody[4A6H8]
CD247 Mouse Monoclonal antibody[4B110]
CD248 Mouse Monoclonal antibody[1H11A]
CD256 Mouse Monoclonal antibody[2C2C]
CD258 Mouse Monoclonal antibody[1D5D1]
CD258 Mouse Monoclonal antibody[1F4A5]
CD267 Mouse Monoclonal antibody[1F6B3]
CD267 Mouse Monoclonal antibody[5F11B]
CD268 Mouse Monoclonal antibody[5A9B1]
CD268 Mouse Monoclonal antibody[5A9B6]
CD269 Mouse Monoclonal antibody[1D129]
CD27 Mouse Monoclonal antibody[3B6D3]
CD273 Mouse Monoclonal antibody[5F4H1]
CD273 Mouse Monoclonal antibody[5H8B1]
CD274 Mouse Monoclonal antibody[6D9A2]
TNFRSF11A/CD265 Mouse Monoclonal antibody[2B5A2]
CD274 Mouse Monoclonal antibody[7D2A1]
TNFRSF11A/CD265 Mouse Monoclonal antibody[3A9G2]
CD275 Mouse Monoclonal antibody[1G6E1]
CD276 Mouse Monoclonal antibody[6A1C]
CD281 Mouse Monoclonal antibody[3B1D8]
CD281 Mouse Monoclonal antibody[8C1G8]
CD283 Mouse Monoclonal antibody[6F3G4]
CD289 Mouse Monoclonal antibody[5B10E]
CD298 Mouse Monoclonal antibody[2B3G1]
CD298 Mouse Monoclonal antibody[2D3B5]
CD299 Mouse Monoclonal antibody[8A1B]