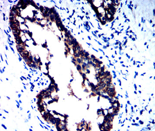
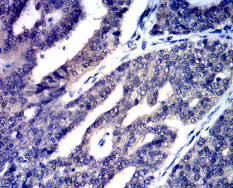
CD258 Mouse Monoclonal antibody[1D5D1]

AccuSift
TNFSF14; LTg; HVEML; LIGHT
SKU Name Unit Price Delivery QTY
AC1620 CD258 Mouse Monoclonal antibody[1D5D1] 100ug $367 10days
AC1620 CD258 Mouse Monoclonal antibody[1D5D1] 200ug $660.6 10days

The protein encoded by this gene is a member of the tumor necrosis factor (TNF) ligand family. This protein is a ligand for TNFRSF14, which is a member of the tumor necrosis factor receptor superfamily, and which is also known as a herpesvirus entry mediator (HVEM). This protein may function as a costimulatory factor for the activation of lymphoid cells and as a deterrent to infection by herpesvirus. This protein has been shown to stimulate the proliferation of T cells, and trigger apoptosis of various tumor cells. This protein is also reported to prevent tumor necrosis factor alpha mediated apoptosis in primary hepatocyte. Two alternatively spliced transcript variant encoding distinct isoforms have been reported.



Aliases:    TNFSF14; LTg; HVEML; LIGHT    

Entrez GeneID:   8740    

Swissprot :   O43557       

WB Predicted band size :   26.4kDa    

Host/Isotype:    Mouse IgG2b    

Species Reactivity:    Human, Mouse    

Immunogen:    Purified recombinant fragment of human CD258 (AA: extra 59-240) expressed in E. Coli.    

Operation

WB    1/500 - 1/2000    

IHC    1/200 - 1/1000    

FCM    1/200 - 1/400    

ELISA    1/10000    

References