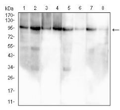
CD220 Mouse Monoclonal antibody[2A4H9]

AccuSift
INSR; HHF5
SKU Name Unit Price Delivery QTY
AC1598 CD220 Mouse Monoclonal antibody[2A4H9] 100ug $367 10days
AC1598 CD220 Mouse Monoclonal antibody[2A4H9] 200ug $660.6 10days

This gene encodes a member of the receptor tyrosine kinase family of proteins. The encoded preproprotein is proteolytically processed to generate alpha and beta subunits that form a heterotetrameric receptor. Binding of insulin or other ligands to this receptor activates the insulin signaling pathway, which regulates glucose uptake and release, as well as the synthesis and storage of carbohydrates, lipids and protein. Mutations in this gene underlie the inherited severe insulin resistance syndromes including type A insulin resistance syndrome, Donohue syndrome and Rabson-Mendenhall syndrome. Alternative splicing results in multiple transcript variants.



Aliases:    INSR; HHF5    

Entrez GeneID:    3643    

Swissprot:   P06213    

WB Predicted band size:    156kDa    

Host/Isotype :   Mouse IgG2a    

Species Reactivity:    Human, Mouse, Monkey    

Immunogen:    Purified recombinant fragment of human CD220 (AA: extra 413-624) expressed in E. Coli.    

Operation

WB    1/500 - 1/2000    

IF/ICC    1/50 - 1/200    

FCM    1/200 - 1/400    

ELISA    1/10000    

References