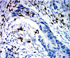
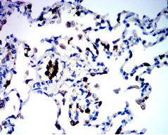
CD281 Mouse Monoclonal antibody[8C1G8]

AccuSift
TLR1; TIL; rsc786; TIL. LPRS5
SKU Name Unit Price Delivery QTY
AC1637 CD281 Mouse Monoclonal antibody[8C1G8] 100ug $367 10days
AC1637 CD281 Mouse Monoclonal antibody[8C1G8] 200ug $660.6 10days

The protein encoded by this gene is a member of the Toll-like receptor (TLR) family which plays a fundamental role in pathogen recognition and activation of innate immunity. TLRs are highly conserved from Drosophila to humans and share structural and functional similarities. They recognize pathogen-associated molecular patterns (PAMPs) that are expressed on infectious agents, and mediate the production of cytokines necessary for the development of effective immunity. The various TLRs exhibit different patterns of expression. This gene is ubiquitously expressed, and at higher levels than other TLR genes. Different length transcripts presumably resulting from use of alternative polyadenylation site, and/or from alternative splicing, have been noted for this gene.



Aliases:    TLR1; TIL; rsc786; TIL. LPRS5    

Entrez GeneID:    7096    

Swissprot :   Q15399     

WB Predicted band size:   90.2kDa    

Host/Isotype :   Mouse IgG1    

Species Reactivity :   Human    

Immunogen:    Purified recombinant fragment of human CD281 (AA: extra 172-425) expressed in E. Coli.    

Operation

IHC    1/200 - 1/1000    

IF/ICC    1/200 - 1/1000    

FCM    1/200 - 1/400    

ELISA    1/10000    

References