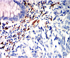
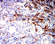
CD206 Mouse Monoclonal antibody[4B11C]

AccuSift
MMR; hMR; CD206; MRC1L1; CLEC13D; CLEC13DL; bA541I19.1
SKU Name Unit Price Delivery QTY
AC1582 CD206 Mouse Monoclonal antibody[4B11C] 100ug $367 10days
AC1582 CD206 Mouse Monoclonal antibody[4B11C] 200ug $660.6 10days

The recognition of complex carbohydrate structures on glycoproteins is an important part of several biological processes, including cell-cell recognition, serum glycoprotein turnover, and neutralization of pathogens. The protein encoded by this gene is a type I membrane receptor that mediates the endocytosis of glycoproteins by macrophages. The protein has been shown to bind high-mannose structures on the surface of potentially pathogenic viruses, bacteria, and fungi so that they can be neutralized by phagocytic engulfment.[provided by RefSeq, Sep 2015]



Aliases :   MMR; hMR; CD206; MRC1L1; CLEC13D; CLEC13DL; bA541I19.1    

Entrez GeneID :   4360    

Swissprot:    P22897    

WB Predicted band size:    166 kDa    

Host/Isotype :   Mouse IgG2a    

Species Reactivity:    Human    

Immunogen:    Purified recombinant fragment of human CD206 (AA: extra(19-218)) expressed in E. Coli.    

Operation

IHC    1/200 - 1/1000    

FCM    1/200 - 1/400    

References