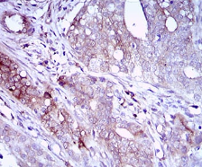
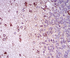
CD22 Mouse Monoclonal antibody[2H1C4]

AccuSift
SIGLEC2; SIGLEC-2
SKU Name Unit Price Delivery QTY
AC1596 CD22 Mouse Monoclonal antibody[2H1C4] 100ug $367 10days
AC1596 CD22 Mouse Monoclonal antibody[2H1C4] 200ug $660.6 10days

CD22 may be involved in the localization of B-cells in lymphoid tissues. Binds sialylated glycoproteins; one of which is CD45. Preferentially binds to alpha-2,6-linked sialic acid. The sialic acid recognition site can be masked by cis interactions with sialic acids on the same cell surface. Upon ligand induced tyrosine phosphorylation in the immune response seems to be involved in regulation of B-cell antigen receptor signaling. Plays a role in positive regulation through interaction with Src family tyrosine kinases and may also act as an inhibitory receptor by recruiting cytoplasmic phosphatases via their SH2 domains that block signal transduction through dephosphorylation of signaling molecules



Aliases:    SIGLEC2; SIGLEC-2    

Entrez GeneID:    933    

Swissprot:    P20273    

WB Predicted band size:    95.3kDa    

Host/Isotype :   Mouse IgG1    

Species Reactivity :   Human    

Immunogen  :  Purified recombinant fragment of human CD22 (AA: 621-725) expressed in E. Coli.    

Operation

WB    1/500 - 1/2000    

IHC    1/200 - 1/1000    

IF/ICC    1/50 - 1/200    

FCM    1/200 - 1/400    

ELISA    1/10000    

References