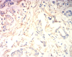
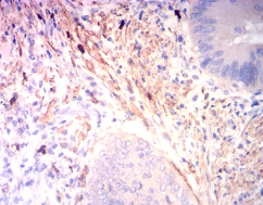
MB Mouse Monoclonal antibody[5D2E4]

AccuSift
PVALB; myoglobgin
SKU Name Unit Price Delivery QTY
AC2801 MB Mouse Monoclonal antibody[5D2E4] 100ug $367 10days
AC2801 MB Mouse Monoclonal antibody[5D2E4] 200ug $660.6 10days

This gene encodes a member of the globin superfamily and is expressed in skeletal and cardiac muscles. The encoded protein is a haemoprotein contributing to intracellular oxygen storage and transcellular facilitated diffusion of oxygen. At least three alternatively spliced transcript variants encoding the same protein have been reported.



Aliases :   PVALB; myoglobgin    

Entrez GeneID :   4151    

Swissprot :   P02144    

WB Predicted band size:    17.2kDa    

Host/Isotype:    Mouse IgG1    

Species Reactivity:    Human    

Immunogen:    Purified recombinant fragment of human MB (AA: 2-154) expressed in E. Coli.    

Operation

IHC    1/200 - 1/1000    

ELISA    1/10000    

References