GZMB Mouse Monoclonal antibody[2G168]

AccuSift
C11; HLP; CCPI; CGL1; CSPB; SECT; CGL-1; CSP-B; CTLA1; CTSGL1
SKU Name Unit Price Delivery QTY
AC2405 GZMB Mouse Monoclonal antibody[2G168] 100ug $367 10days
AC2405 GZMB Mouse Monoclonal antibody[2G168] 200ug $660.6 10days

This gene encodes a member of the granzyme subfamily of proteins, part of the peptidase S1 family of serine proteases. The encoded preproprotein is secreted by natural killer (NK) cells and cytotoxic T lymphocytes (CTLs) and proteolytically processed to generate the active protease, which induces target cell apoptosis. This protein also processes cytokines and degrades extracellular matrix proteins, and these roles are implicated in chronic inflammation and wound healing. Expression of this gene may be elevated in human patients with cardiac fibrosis. [provided by RefSeq, Sep 2016]



Aliases:    C11; HLP; CCPI; CGL1; CSPB; SECT; CGL-1; CSP-B; CTLA1; CTSGL1    

Entrez GeneID:    3002    

Swissprot:    P10144      

WB Predicted band size :   28kDa    

Host/Isotype:    Mouse IgG2a    

Species Reactivity:    Human    

Immunogen :   Purified recombinant fragment of human GZMB (AA: 21-247) expressed in E. Coli.    

Operation

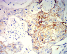
IHC    1/200-1/1000    

ELISA    1/10000    

References