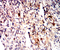
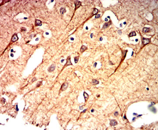
CD10 Mouse Monoclonal antibody[1H881]

AccuSift
MME; NEP; SFE; CALLA
SKU Name Unit Price Delivery QTY
AC1411 CD10 Mouse Monoclonal antibody[1H881] 100ug $367 10days
AC1411 CD10 Mouse Monoclonal antibody[1H881] 200ug $660.6 10days

This gene encodes a common acute lymphocytic leukemia antigen that is an important cell surface marker in the diagnosis of human acute lymphocytic leukemia (ALL). This protein is present on leukemic cells of pre-B phenotype, which represent 85% of cases of ALL. This protein is not restricted to leukemic cells, however, and is found on a variety of normal tissues. It is a glycoprotein that is particularly abundant in kidney, where it is present on the brush border of proximal tubules and on glomerular epithelium. The protein is a neutral endopeptidase that cleaves peptides at the amino side of hydrophobic residues and inactivates several peptide hormones including glucagon, enkephalins, substance P, neurotensin, oxytocin, and bradykinin. This gene, which encodes a 100-kD type II transmembrane glycoprotein, exists in a single copy of greater than 45 kb. The 5' untranslated region of this gene is alternatively spliced, resulting in four separate mRNA transcripts. The coding region is not affected by alternative splicing.



Aliases:    MME; NEP; SFE; CALLA    

Entrez GeneID:    4311    

Swissprot :   P08473    

WB Predicted band size:    85kDa    

Host/Isotype :   Mouse IgG2b    

Species Reactivity:    Human    

Immunogen:    Purified recombinant fragment of human CD10 (AA: (651-750)) expressed in E. Coli.    

Operation

WB    1/500 - 1/2000    

IHC    1/200 - 1/1000    

FCM    1/200 - 1/400    

ELISA    1/10000    

References