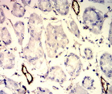
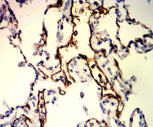
CD109 Mouse Monoclonal antibody[3B5G6]

AccuSift
p180; r150; CPAMD7
SKU Name Unit Price Delivery QTY
AC1439 CD109 Mouse Monoclonal antibody[3B5G6] 100ug $367 10days
AC1439 CD109 Mouse Monoclonal antibody[3B5G6] 200ug $660.6 10days

This gene encodes a glycosyl phosphatidylinositol (GPI)-linked glycoprotein that localizes to the surface of platelets, activated T-cells, and endothelial cells. The protein binds to and negatively regulates signalling by transforming growth factor beta (TGF-beta). Multiple transcript variants encoding different isoforms have been found for this gene.



Aliases :   p180; r150; CPAMD7    

Entrez GeneID :   135228    

Swissprot :   Q6YHK3    

WB Predicted band size:    161.7kDa    

Host/Isotype :   Mouse IgG1    

Species Reactivity :   Human    

Immunogen:    Purified recombinant fragment of human CD109 (AA: extra 1274-1421) expressed in E. Coli.    

Operation

IHC    1/200 - 1/1000    

IF/ICC    1/20 - 1/100    

FCM    1/200 - 1/400    

ELISA    1/10000    

References