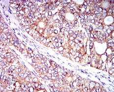
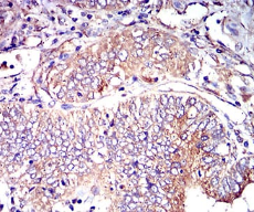
CD102 Mouse Monoclonal antibody[7A6E1]

AccuSift
ICAM2
SKU Name Unit Price Delivery QTY
AC1427 CD102 Mouse Monoclonal antibody[7A6E1] 100ug $367 10days
AC1427 CD102 Mouse Monoclonal antibody[7A6E1] 200ug $660.6 10days

The protein encoded by this gene is a member of the intercellular adhesion molecule (ICAM) family. All ICAM proteins are type I transmembrane glycoproteins, contain 2-9 immunoglobulin-like C2-type domains, and bind to the leukocyte adhesion LFA-1 protein. This protein may play a role in lymphocyte recirculation by blocking LFA-1-dependent cell adhesion. It mediates adhesive interactions important for antigen-specific immune response, NK-cell mediated clearance, lymphocyte recirculation, and other cellular interactions important for immune response and surveillance. Several transcript variants encoding the same protein have been found for this gene.



Aliases:    ICAM2    

Entrez GeneID :   3384    

Swissprot:    P13598    

WB Predicted band size :   30.7kDa    

Host/Isotype:    Mouse IgG1    

Species Reactivity:    Human    

Immunogen :   Purified recombinant fragment of human CD102 (AA: extra 25-223) expressed in E. Coli.    

Operation

IHC    1/200 - 1/1000    

FCM    1/200 - 1/400    

ELISA    1/10000    

References