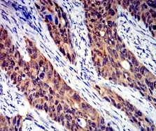
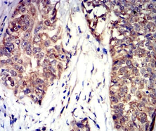
CD100 Mouse Monoclonal antibody[5H6E3]

AccuSift
SEMA4D; SEMAJ; coll-4; C9orf164; M-sema-G
SKU Name Unit Price Delivery QTY
AC1423 CD100 Mouse Monoclonal antibody[5H6E3] 100ug $367 10days
AC1423 CD100 Mouse Monoclonal antibody[5H6E3] 200ug $660.6 10days

SEMA4D (Semaphorin 4D) is a Protein Coding gene. Diseases associated with SEMA4D include Hemorrhagic Fever With Renal Syndrome. Among its related pathways are Guidance Cues and Growth Cone Motility and Developmental Biology. GO annotations related to this gene include receptor binding and transmembrane signaling receptor activity. An important paralog of this gene is SEMA4B.



Aliases:    SEMA4D; SEMAJ; coll-4; C9orf164; M-sema-G    

Entrez GeneID:    10507    

Swissprot :   Q92854    

WB Predicted band size:    96.2kDa    

Host/Isotype:    Mouse IgG1    

Species Reactivity:    Human    

Immunogen:    Purified recombinant fragment of human CD100 (AA: extra 590-734) expressed in E. Coli.    

Operation

IHC    1/200 - 1/1000    

FCM    1/200 - 1/400    

ELISA    1/10000    

References