CD105 Mouse Monoclonal antibody[2B2H2]

AccuSift
ENG; END; HHT1; ORW1
SKU Name Unit Price Delivery QTY
AC1430 CD105 Mouse Monoclonal antibody[2B2H2] 100ug $367 10days
AC1430 CD105 Mouse Monoclonal antibody[2B2H2] 200ug $660.6 10days

This gene encodes a homodimeric transmembrane protein which is a major glycoprotein of the vascular endothelium. This protein is a component of the transforming growth factor beta receptor complex and it binds to the beta1 and beta3 peptides with high affinity. Mutations in this gene cause hereditary hemorrhagic telangiectasia, also known as Osler-Rendu-Weber syndrome 1, an autosomal dominant multisystemic vascular dysplasia. This gene may also be involved in preeclampsia and several types of cancer. Alternatively spliced transcript variants encoding different isoforms have been found for this gene.



Aliases:    ENG; END; HHT1; ORW1    

Entrez GeneID:    2022    

Swissprot :   P17813     

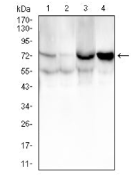
WB Predicted band size :   70.6kDa    

Host/Isotype :   Mouse IgG1    

Species Reactivity :   Human    

Immunogen :   Purified recombinant fragment of human CD105 (AA: extra 342-586) expressed in E. Coli.    

Operation

WB    1/500 - 1/2000    

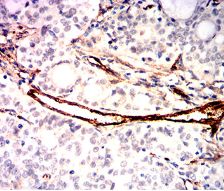
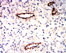
IHC    1/200 - 1/1000    

FCM    1/200 - 1/400    

ELISA    1/10000    

References