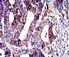
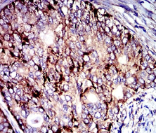
CD107b Mouse Monoclonal antibody[6A10H]

AccuSift
LAMPB; LAMP2; LAMP-2; LGP-96; LGP110
SKU Name Unit Price Delivery QTY
AC1435 CD107b Mouse Monoclonal antibody[6A10H] 100ug $367 10days
AC1435 CD107b Mouse Monoclonal antibody[6A10H] 200ug $660.6 10days

The protein encoded by this gene is a member of a family of membrane glycoproteins. This glycoprotein provides selectins with carbohydrate ligands. It may play a role in tumor cell metastasis. It may also function in the protection, maintenance, and adhesion of the lysosome. Alternative splicing of this gene results in multiple transcript variants encoding distinct proteins.



Aliases :   LAMPB; LAMP2; LAMP-2; LGP-96; LGP110    

Entrez GeneID:    3920    

Swissprot:    P13473    

WB Predicted band size :   45kDa    

Host/Isotype :   Mouse IgG1    

Species Reactivity:    Human    

Immunogen:    Purified recombinant fragment of human CD107b (AA: extra 29-168) expressed in E. Coli.    

Operation

IHC    1/200 - 1/1000    

FCM    1/200 - 1/400    

ELISA    1/10000    

References