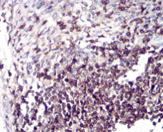
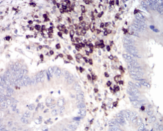
CD6 Mouse Monoclonal antibody[5A10A2]

AccuSift
TP120; FLJ44171
SKU Name Unit Price Delivery QTY
AC1790 CD6 Mouse Monoclonal antibody[5A10A2] 100ug $367 10days
AC1790 CD6 Mouse Monoclonal antibody[5A10A2] 200ug $660.6 10days

This gene encodes a protein found on the outer membrane of T-lymphocytes as well as some other immune cells. The encoded protein contains three scavenger receptor cysteine-rich (SRCR) domains and a binding site for an activated leukocyte cell adhesion molecule. The gene product is important for continuation of T cell activation. This gene may be associated with susceptibility to multiple sclerosis (PMID: 19525953, 21849685). Multiple transcript variants encoding different isoforms have been found for this gene.



Aliases :   TP120; FLJ44171    

Entrez GeneID:    923    

Swissprot :   P30203    

WB Predicted band size:    71.8kDa    

Host/Isotype :   Mouse IgG2b      

Species Reactivity :   Human    

Immunogen :   Purified recombinant fragment of human CD6 (AA: 18-199) expressed in E. Coli.    

Operation

IHC    1/200 - 1/1000    

IF/ICC    1/200 - 1/1000    

FCM    1/200 - 1/400    

ELISA    1/10000    

References