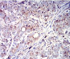
CD63 Mouse Monoclonal antibody[1E8D4]

AccuSift
MLA1; ME491; LAMP-3; OMA81H; TSPAN30
SKU Name Unit Price Delivery QTY
AC1797 CD63 Mouse Monoclonal antibody[1E8D4] 100ug $367 10days
AC1797 CD63 Mouse Monoclonal antibody[1E8D4] 200ug $660.6 10days

The protein encoded by this gene is a member of the transmembrane 4 superfamily, also known as the tetraspanin family. Most of these members are cell-surface proteins that are characterized by the presence of four hydrophobic domains. The proteins mediate signal transduction events that play a role in the regulation of cell development, activation, growth and motility. The encoded protein is a cell surface glycoprotein that is known to complex with integrins. It may function as a blood platelet activation marker. Deficiency of this protein is associated with Hermansky-Pudlak syndrome. Also this gene has been associated with tumor progression. Alternative splicing results in multiple transcript variants encoding different protein isoforms.



Aliases:    MLA1; ME491; LAMP-3; OMA81H; TSPAN30    

Entrez GeneID :   967    

Swissprot:    P08962     

WB Predicted band size:    25.6kDa    

Host/Isotype:    Mouse IgG1    

Species Reactivity :   Human    

Immunogen :   Purified recombinant fragment of human CD63 (AA: extra 103-203) expressed in E. Coli.    

Operation

IHC    1/200 - 1/1000    

FCM    1/200 - 1/400    

ELISA    1/10000    

References