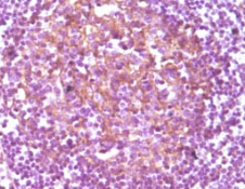
CD14 Mouse Monoclonal antibody[5A3H5]

AccuSift
CD14
SKU Name Unit Price Delivery QTY
AC1483 CD14 Mouse Monoclonal antibody[5A3H5] 100ug $367 10days
AC1483 CD14 Mouse Monoclonal antibody[5A3H5] 200ug $660.6 10days

CD14 antigen is a GPI-linked glycoprotein with a molecular weight of 55kD. The CD14 antigen is expressed on cells of the myelomonocytic lineage including monocytes, macrophages and Langerhans cells. Low expression is observed on neutrophils and on human B cells. CD14 antigen is a receptor for bacterial lipopolysaccharide (LPS, endotoxin) and the lipopolysaccharide binding protein (LBP). LBP and CD14 antigen serves two physiological roles. These proteins act as opsonin and opsonic receptor, respectively, to promote the phagocytic uptake of bacteria or LPScoated particles by macrophages.



Aliases :   CD14    

Entrez GeneID:    929    

Swissprot:    P08571     

Host/Isotype:    Mouse IgG1    

Species Reactivity :   Human    

Immunogen:    Purified recombinant fragment of human CD14 expressed in E. Coli.    

Operation

IHC    1/200 - 1/1000    

FCM    1/200 - 1/400    

ELISA    1/10000    

References