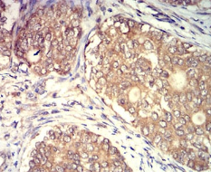
CD140a Mouse Monoclonal antibody[5B11]

AccuSift
PDGFRA; PDGFR2; PDGFR-2
SKU Name Unit Price Delivery QTY
AC1485 CD140a Mouse Monoclonal antibody[5B11] 100ug $367 10days
AC1485 CD140a Mouse Monoclonal antibody[5B11] 200ug $660.6 10days

This gene encodes a cell surface tyrosine kinase receptor for members of the platelet-derived growth factor family. These growth factors are mitogens for cells of mesenchymal origin. The identity of the growth factor bound to a receptor monomer determines whether the functional receptor is a homodimer or a heterodimer, composed of both platelet-derived growth factor receptor alpha and beta polypeptides. Studies suggest that this gene plays a role in organ development, wound healing, and tumor progression. Mutations in this gene have been associated with idiopathic hypereosinophilic syndrome, somatic and familial gastrointestinal stromal tumors, and a variety of other cancers.


Aliases:    PDGFRA; PDGFR2; PDGFR-2    

Entrez GeneID:    5156    

Swissprot:    P16234    

WB Predicted band size :   122.6kDa    

Host/Isotype:    Mouse IgG2a      

Species Reactivity :   Human    

Immunogen:    Purified recombinant fragment of human CD140a (AA: extra 179-361) expressed in E. Coli.    

Operation

IHC    1/200 - 1/1000    

FCM    1/200 - 1/400    

ELISA    1/10000    

References