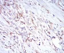
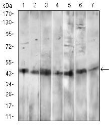
CD14 Mouse Monoclonal antibody[4B4F1]

AccuSift
SKU Name Unit Price Delivery QTY
AC1482 CD14 Mouse Monoclonal antibody[4B4F1] 100ug $367 10days
AC1482 CD14 Mouse Monoclonal antibody[4B4F1] 200ug $660.6 10days

The protein encoded by this gene is a surface antigen that is preferentially expressed on monocytes/macrophages. It cooperates with other proteins to mediate the innate immune response to bacterial lipopolysaccharide. Alternative splicing results in multiple transcript variants encoding the same protein.



Entrez GeneID:    929    

Swissprot:    P08571      

WB Predicted band size:    40kDa    

Host/Isotype :   Mouse IgG1    

Species Reactivity:    Human,Mouse,Rat,Rabbit    

Immunogen:    Purified recombinant fragment of human CD14 (AA: 20-214) expressed in E. Coli.    

Operation

WB    1/500 - 1/2000    

IHC    1/200 - 1/1000    

FCM    1/200 - 1/400    

ELISA    1/10000    

References