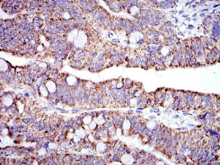
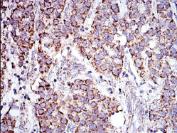
PHB Mouse Monoclonal antibody[5H7A7]

AccuSift
PHB1
SKU Name Unit Price Delivery QTY
AC3162 PHB Mouse Monoclonal antibody[5H7A7] 100ug $367 10days
AC3162 PHB Mouse Monoclonal antibody[5H7A7] 200ug $660.6 10days

Prohibitin is an evolutionarily conserved gene that is ubiquitously expressed. It is thought to be a negative regulator of cell proliferation and may be a tumor suppressor. Mutations in PHB have been linked to sporadic breast cancer. Prohibitin is expressed as two transcripts with varying lengths of 3' untranslated region. The longer transcript is present at higher levels in proliferating tissues and cells, suggesting that this longer 3' untranslated region may function as a trans-acting regulatory RNA.


Aliases:    PHB1    

Entrez GeneID:    5245    

Swissprot:    P35232     

WB Predicted band size:    30kDa    

Host/Isotype:    Mouse IgG1    

Species Reactivity:    Human,Mouse,Rat,Monkey    

Immunogen:    Purified recombinant fragment of human PHB expressed in E. Coli.    

Operation

WB    1/500 - 1/2000    

IHC    1/100 - 1/8000    

IF/ICC    1/50-1/500    

FCM    1/200 - 1/400    

ELISA    1/10000    

References