EphB4 Mouse Monoclonal antibody[5B8F7]

AccuSift
HTK; MYK1; TYRO11; EPHB4
SKU Name Unit Price Delivery QTY
AC2169 EphB4 Mouse Monoclonal antibody[5B8F7] 100ug $367 10days
AC2169 EphB4 Mouse Monoclonal antibody[5B8F7] 200ug $660.6 10days

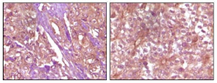
EPH receptor B4 (EphB4), with 987-amino acid protein (about 108kDa), belongs to the ephrin receptor subfamily of the protein-tyrosine kinase family. The Eph receptor tyrosine kinases and their ligands, the ephrins, regulate numerous biological processes in developing and adult tissues and have been implicated in cancer progression and in pathological forms of angiogenesis. EphB4 acts as a negative regulator of blood vessel branching and vascular network formation, switching the vascularization program from sprouting angiogenesis to circumferential vessel growth. EphB4 and its ligand ephrinB2 express in several kinds of tumor cells and correlate with tumorigenesis. EphB4 is thus a potential candidate as a predictor of disease outcome in several kinds of tumor and as target for novel therapy.



Aliases:    HTK; MYK1; TYRO11    

Entrez GeneID:    2050    

Swissprot:    P54760    

Host/Isotype:    Mouse IgG2a    

Species Reactivity:    Human    

Immunogen:    Purified recombinant fragment of EphB4 expressed in E. Coli.    

Operation

IHC    1/200 - 1/1000    

ELISA    1/10000    

References