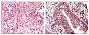
EphB6 Mouse Monoclonal antibody[8E7H1]

AccuSift
HEP; MGC129910; MGC129911; EPHB6
SKU Name Unit Price Delivery QTY
AC2172 EphB6 Mouse Monoclonal antibody[8E7H1] 100ug $367 10days
AC2172 EphB6 Mouse Monoclonal antibody[8E7H1] 200ug $660.6 10days

EPH receptor B6 (EphB6), with 1006-amino acid protein(~ 110 kDa), belongs to the ephrin receptor subfamily of the protein-tyrosine kinase family. Eph receptors and ephrin ligands are membrane-bound cell-cell communication molecules with well-defined functions in development. EphB6 is expressed both in a variety of embryonic and adult tissues. EphB6 is a unique member in the Eph family of receptor tyrosine kinases in that its kinase domain contains several alterations in conserved amino acids and is catalytically inactive. EphB6 can both positively and negatively regulate cell adhesion and migration and tyrosine phosphorylation of the receptor by an Src family kinase acts as the molecular switch for the functional transition.



Aliases:    HEP; MGC129910; MGC129911    

Entrez GeneID:    2051    

Swissprot :   O15197    

Host/Isotype:    Mouse IgG1    

Species Reactivity:    Human    

Immunogen:    Purified recombinant fragment of EphB6 expressed in E. Coli.    

Operation

WB    1/500 - 1/2000    

IHC    1/200 - 1/1000    

ELISA    1/10000    

References