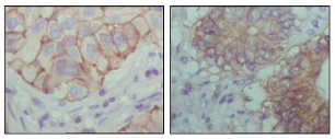
EphB1 Mouse Monoclonal antibody[5F10A]

AccuSift
ELK; NET; Hek6; EPHT2; FLJ37986; EPHB1
SKU Name Unit Price Delivery QTY
AC2165 EphB1 Mouse Monoclonal antibody[5F10A] 100ug $367 10days
AC2165 EphB1 Mouse Monoclonal antibody[5F10A] 200ug $660.6 10days

EhpB1: EPH receptor B1. It is a receptor for ephrin-B family members. Ephrin receptors and their ligands, the ephrins, medate numerous developmental processes, particularly in the nervous system. Based on their structures and sequence relationships, ephrins are divided into the ephrin-A (EFNA) class, which are anchored to the membrane by a glycosylphosphatidylinositol linkage, and the ephrin-B (EFNB) class, which are transmembrane proteins. The Eph family of receptors are divided into 2 groups based on the similarity of their extracellular domain sequences and their affinities for binding ephrin-A and ephrin-B ligands. Ephrin receptors make up the largest subgroup of the receptor tyrosine kinase (RTK) family.



Aliases:    ELK; NET; Hek6; EPHT2; EPHB1    

Entrez GeneID:    2047    

Swissprot:    P54762    

WB Predicted band size :   110kDa    

Host/Isotype :   Mouse IgG1    

Species Reactivity :   Human    

Immunogen :   Purified recombinant fragment of EphB1 (aa19-133) expressed in E. Coli.    

Operation

WB    1/500 - 1/2000    

IHC    1/200 - 1/1000    

ELISA    1/10000    

References