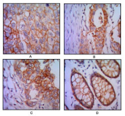
EPCAM Mouse Monoclonal antibody[7E11A]

AccuSift
ESA; KSA; M4S1; MK-1; DIAR5; EGP-2; EGP40; KS1/4; MIC18; TROP1; EGP314; HNPCC8; GA733-2; TACSTD1; EPCAM
SKU Name Unit Price Delivery QTY
AC2155 EPCAM Mouse Monoclonal antibody[7E11A] 100ug $367 10days
AC2155 EPCAM Mouse Monoclonal antibody[7E11A] 200ug $660.6 10days

This gene encodes a carcinoma-associated antigen and is a member of a family that includes at least two type I membrane proteins. This antigen is expressed on most normal epithelial cells and gastrointestinal carcinomas and functions as a homotypic calcium-independent cell adhesion molecule. The antigen is being used as a target for immunotherapy treatment of human carcinomas. Mutations in this gene result in congenital tufting enteropathy.Tissue specificity: This protein is expressed in almost all epithelial cell membranes but not on mesodermal or neural cell membranes. Found on the surface of adenocarcinomas.ABCAM:Epithelial Cell Adhesion Molecule (EpCAM) is a 40 kDa cell surface antigen. This antigen has been identified independently by a number of groups, and has been known by a variety of names. Several monoclonal antibodies have been raised against EpCAM, many of which have been described as tumour specific molecules on carcinomas. EpCAM is a Type 1 transmembrane glycoprotein. It is expressed on the basolateral membrane of cells by the majority of epithelial tissues, with the exception of adult squamous epithelium and some specific epithelial cell types including hepatocytes and gastric epithelial cells. EpCAM expression has been reported to be a possible marker of early malignancy, with expression being increased in tumour cells, and de novo expression being seen in dysplastic squamous epithelium.BIOLEGEND:This cell surface, glycosyl;ated 40kD protein is highly expressed in the bone marrow, colon, lung, and most normal epithelial cells and is expressed on carcinomas of gastrointestinal origin.



Aliases:    ESA; KSA; M4S1; MK-1; DIAR5; EGP-2;EGP40; KS1/4; MIC18; TROP1; TACSTD1; EPCAM    

Entrez GeneID:    4072    

Swissprot:    P16422    

WB Predicted band size:    35kDa    

Host/Isotype:    Mouse IgG1    

Species Reactivity:    Human    

Immunogen:    Purified recombinant fragment of human EPCAM expressed in E. Coli.    

Operation

WB    1/500 - 1/2000    

IHC    1/200 - 1/1000    

ELISA    1/10000    

References