EPCAM Mouse Monoclonal antibody[6C7F7]

AccuSift
ESA; KSA; M4S1; MK-1; DIAR5; EGP-2; EGP40; KS1/4; MIC18; TROP1; EGP314; HNPCC8; TACSTD1
SKU Name Unit Price Delivery QTY
AC2152 EPCAM Mouse Monoclonal antibody[6C7F7] 100ug $367 10days
AC2152 EPCAM Mouse Monoclonal antibody[6C7F7] 200ug $660.6 10days

This gene encodes a carcinoma-associated antigen and is a member of a family that includes at least two type I membrane proteins. This antigen is expressed on most normal epithelial cells and gastrointestinal carcinomas and functions as a homotypic calcium-independent cell adhesion molecule. The antigen is being used as a target for immunotherapy treatment of human carcinomas. Mutations in this gene result in congenital tufting enteropathy. [provided by RefSeq, Dec 2008]



Aliases:    ESA; KSA; M4S1; MK-1; DIAR5; EGP-2; EGP40; KS1/4; MIC18; TROP1; EGP314; HNPCC8; TACSTD1    

Entrez GeneID:    4072    

Swissprot:    P16422    

WB Predicted band size :   35kDa    

Host/Isotype:    Mouse IgG1    

Species Reactivity:    Human    

Immunogen :   Purified recombinant fragment of human EPCAM (AA: extra(116-265)) expressed in E. Coli.    

Operation

WB    1/500 - 1/2000    

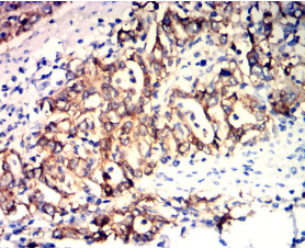
IHC    1/200-1/1000    

FCM    1/200-1/400    

ELISA    1/10000    

References