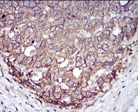
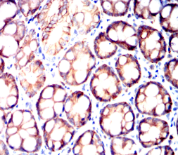
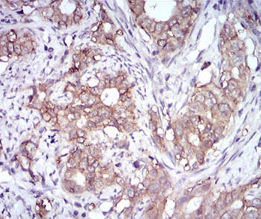
EPCAM Mouse Monoclonal antibody[7B5C1]

AccuSift
ESA; KSA; M4S1; MK-1; DIAR5; EGP-2; EGP40; KS1/4; MIC18; TROP1; EGP314; HNPCC8; TACSTD1
SKU Name Unit Price Delivery QTY
AC2154 EPCAM Mouse Monoclonal antibody[7B5C1] 100ug $367 10days
AC2154 EPCAM Mouse Monoclonal antibody[7B5C1] 200ug $660.6 10days

This gene encodes a carcinoma-associated antigen and is a member of a family that includes at least two type I membrane proteins. This antigen is expressed on most normal epithelial cells and gastrointestinal carcinomas and functions as a homotypic calcium-independent cell adhesion molecule. The antigen is being used as a target for immunotherapy treatment of human carcinomas. Mutations in this gene result in congenital tufting enteropathy.



Aliases :   ESA; KSA; M4S1; MK-1; DIAR5; EGP-2; EGP40; KS1/4; MIC18; TROP1; EGP314; HNPCC8; TACSTD1    

Entrez GeneID:    4072    

Swissprot:    P16422     

WB Predicted band size:    35kDa    

Host/Isotype :   Mouse IgG1    

Species Reactivity:    Human,Mouse,Rat    

Immunogen:    Purified recombinant fragment of human EPCAM (AA: 24-265) expressed in E. Coli.    

Operation

WB    1/500 - 1/2000    

IHC    1/200 - 1/1000    

FCM    1/200 - 1/400    

ELISA    1/10000    

References