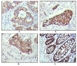
Cytokeratin 19 Mouse Monoclonal antibody[9H8G]

AccuSift
K19; CK19; K1CS; MGC15366; KRT19
SKU Name Unit Price Delivery QTY
AC2040 Cytokeratin 19 Mouse Monoclonal antibody[9H8G] 100ug $367 10days
AC2040 Cytokeratin 19 Mouse Monoclonal antibody[9H8G] 200ug $660.6 10days

Cytokeratin 19, also known as KRT19, CK19, CK19, K1CS, MGC15366. Entrez Protein NP_002267. It is a member of the keratin family. The keratins are intermediate filament proteins responsible for the structural integrity of epithelial cells and are subdivided into cytokeratins and hair keratins. The type I cytokeratins consist of acidic proteins which are arranged in pairs of heterotypic keratin chains. Unlike its related family members, this smallest known acidic cytokeratin is not paired with a basic cytokeratin in epithelial cells. It is specifically expressed in the periderm, the transiently superficial layer that envelopes the developing epidermis.



Aliases :   CK19; K1CS; MGC15366; KRT19    

Entrez GeneID:    3880    

Swissprot:    P08727      

WB Predicted band size:    44kDa    

Host/Isotype :   Mouse IgG1    

Species Reactivity:    Human    

Immunogen:    Purified recombinant fragment of Cytokeratin 19 (aa80-400) expressed in E. Coli.    

Operation

IHC    1/200 - 1/1000    

ELISA    1/10000    

References