Cytokeratin(Pan) Mouse Monoclonal antibody[7H8C4]

AccuSift
SKU Name Unit Price Delivery QTY
AC2044 Cytokeratin(Pan) Mouse Monoclonal antibody[7H8C4] 100ug $367 10days
AC2044 Cytokeratin(Pan) Mouse Monoclonal antibody[7H8C4] 200ug $660.6 10days

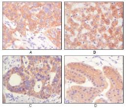
Biochemically, most members of the CK family fall into one of two classes, type I (acidic polypeptides) and type II (basic polypeptides). The type II cytokeratins consist of basic or neutral proteins which are arranged in pairs of heterotypic keratin chains coexpressed during differentiation of simple and stratified epithelial tissues. Cytokeratins comprise a diverse group of intermediate filament proteins (IFPs) that are expressed as pairs in both keratinized and non-keratinized epithelial tissue. Cytokeratins play a critical role in differentiation and tissue specialization and function to maintain the overall structural integrity of epithelial cells. Cytokeratins have been found to be useful markers of tissue differentiation which is directly applicable to the characterization of malignant tumors.



Aliases:    K5; DDD; EBS2; KRT5A; KRT5    

Entrez GeneID :   3852    

Swissprot :   P13647    

Host/Isotype:    Mouse IgG1    

Species Reactivity:    Human    

Immunogen:    Purified recombinant fragment of Cytokeratin 5 expressed in E. Coli.    

Operation

IHC    1/200 - 1/1000    

IF/ICC    1/200 - 1/1000    

ELISA    1/10000    

References