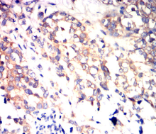
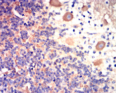
BRAF Mouse Monoclonal antibody[2A10D]

AccuSift
NS7; B-raf; BRAF1; RAFB1; B-RAF1
SKU Name Unit Price Delivery QTY
AC1305 BRAF Mouse Monoclonal antibody[2A10D] 100ug $367 10days
AC1305 BRAF Mouse Monoclonal antibody[2A10D] 200ug $660.6 10days

This gene encodes a protein belonging to the RAF family of serine/threonine protein kinases. This protein plays a role in regulating the MAP kinase/ERK signaling pathway, which affects cell division, differentiation, and secretion. Mutations in this gene, most commonly the V600E mutation, are the most frequently identified cancer-causing mutations in melanoma, and have been identified in various other cancers as well, including non-Hodgkin lymphoma, colorectal cancer, thyroid carcinoma, non-small cell lung carcinoma, hairy cell leukemia and adenocarcinoma of lung. Mutations in this gene are also associated with cardiofaciocutaneous, Noonan, and Costello syndromes, which exhibit overlapping phenotypes. A pseudogene of this gene has been identified on the X chromosome. [provided by RefSeq, Aug 2017]



Aliases:    NS7; B-raf; BRAF1; RAFB1; B-RAF1    

Entrez GeneID:    673    

Swissprot:    P15056    

WB Predicted band size:    84.4kda    

Host/Isotype:    Mouse IgG1      

Species Reactivity :   Human, Rat    

Immunogen:    Purified recombinant fragment of human BRAF (AA: 299-447) expressed in HEK293-6e.    

Operation

WB    1/500 - 1/2000    

IHC    1/200 - 1/1000    

FCM    1/200 - 1/400    

ELISA    1/10000    

References