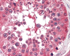
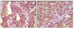
BRAF Mouse Monoclonal antibody[1H123]

AccuSift
BRAF1; RAFB1; B-RAF1; FLJ95109; MGC126806; MGC138284; BRAF
SKU Name Unit Price Delivery QTY
AC1303 BRAF Mouse Monoclonal antibody[1H123] 100ug $367 10days
AC1303 BRAF Mouse Monoclonal antibody[1H123] 200ug $660.6 10days

BRAF(V-raf murine sarcoma viral oncogene homolog B1 ) is the main effectors recruited by GTP-bound Ras to activate the MEK-MAP kinase pathway. B-Raf contains three consensus Akt phosphorylationsites (Ser364, Ser428, and Thr439).B-Raf is a key regulatory molecule of the mitogen-activated protein kinase kinase (MEK),it has a long amino-terminal region,the region is essential for homo-dimerization of B-Raf and hetero-dimerization of B-Raf and c-Raf at the plasma membrane, followed by phosphorylation of Thr118 in the amino-terminal B-Raf-specific region. Notably, in calcium ionophore-stimulated HeLa cells, B-Raf could propagate signals to MEK under the basal level of GTP-Ras. Expression of Raf-B is highly restricted with highestlevels in the cerebrum and testes and defects in braf are involved in a wide range of cancers.The BRAF gene mutation is frequently detected in papillary thyroid carcinoma,melanocytic nevi,primary cutaneous melanomas and colorectal cancers.

   


Aliases :   BRAF    

Entrez GeneID :   673    

Swissprot :   P15056    

Host/Isotype :   Mouse IgG1    

Species Reactivity :   Human    

Immunogen :   Purified recombinant fragment of BRAF expressed in E. Coli.    

Operation

IHC    1/200 - 1/1000    

ELISA    1/10000    

References