ALB Mouse Monoclonal antibody[1F5H7]

AccuSift
HSA; PRO0883; PRO0903; PRO1341
SKU Name Unit Price Delivery QTY
AC1080 ALB Mouse Monoclonal antibody[1F5H7] 100ug $367 10days
AC1080 ALB Mouse Monoclonal antibody[1F5H7] 200ug $660.6 10days



This gene encodes the most abundant protein in human blood. This protein functions in the regulation of blood plasma colloid osmotic pressure and acts as a carrier protein for a wide range of endogenous molecules including hormones, fatty acids, and metabolites, as well as exogenous drugs. Additionally, this protein exhibits an esterase-like activity with broad substrate specificity. The encoded preproprotein is proteolytically processed to generate the mature protein. A peptide derived from this protein, EPI-X4, is an endogenous inhibitor of the CXCR4 chemokine receptor. 


Aliases    HSA; PRO0883; PRO0903; PRO1341    

Entrez GeneID    213    

Swissprot    P02768    

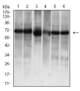
WB Predicted band size    69.4kDa    

Host/Isotype    Mouse IgG2b    

Species Reactivity    Human, Monkey    

Immunogen    Purified recombinant fragment of human ALB (AA: 410-609) expressed in E. Coli.    



Operation

WB    1/500 - 1/2000    

IHC    1/200-1/1000    

IF/ICC    1/200 - 1/1000    

FCM    1/200-1/400    

ELISA    1/10000    

References