| SKU | Name | Unit | Price | Delivery | QTY |
|---|---|---|---|---|---|
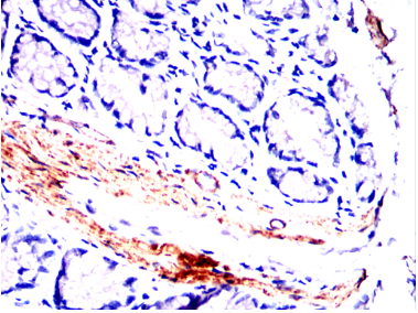
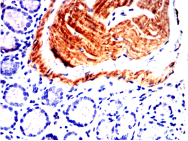
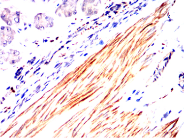
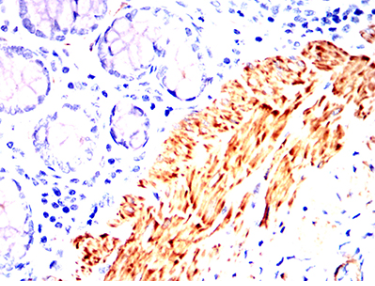
| AC1029 | ACTA2 Mouse Monoclonal antibody[1H8B8] | 100ug | $367 | 10days |
|
| AC1029 | ACTA2 Mouse Monoclonal antibody[1H8B8] | 200ug | $660.6 | 10days |
|

WeChat