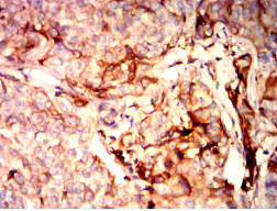
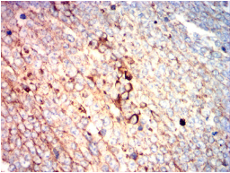
SERPINA Mouse Monoclonal antibody[7D3A2]

AccuSift
PI; A1A; AAT; PI1; A1AT; nNIF; PRO2275; alpha1AT
SKU Name Unit Price Delivery QTY
AC3470 SERPINA Mouse Monoclonal antibody[7D3A2] 100ug $367 10days
AC3470 SERPINA Mouse Monoclonal antibody[7D3A2] 200ug $660.6 10days

The protein encoded by this gene is a serine protease inhibitor belonging to the serpin superfamily whose targets include elastase, plasmin, thrombin, trypsin, chymotrypsin, and plasminogen activator. This protein is produced in the liver, the bone marrow, by lymphocytic and monocytic cells in lymphoid tissue, and by the Paneth cells of the gut. Defects in this gene are associated with chronic obstructive pulmonary disease, emphysema, and chronic liver disease. Several transcript variants encoding the same protein have been found for this gene. [provided by RefSeq, Aug 2020]


Aliases:    PI; A1A; AAT; PI1; A1AT; nNIF; PRO2275; alpha1AT    

Entrez GeneID:    5265    

Swissprot :   P01009    

WB Predicted band size:    46.7kDa    

Host/Isotype:    Mouse IgG1    

Species Reactivity:    Human    

Immunogen :   Purified recombinant fragment of human SERPINA (AA: 269-419) expressed in E. Coli.    

Operation

IHC    1/200-1/1000    

FCM    1/200-1/400    

ELISA    1/10000    

References