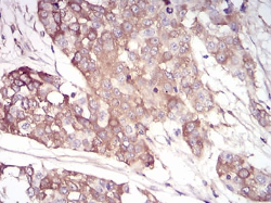
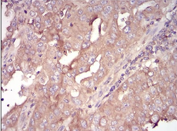
SERPINA3 Mouse Monoclonal antibody[5G3C]

AccuSift
ACT; AACT; GIG24; GIG25
SKU Name Unit Price Delivery QTY
AC3474 SERPINA3 Mouse Monoclonal antibody[5G3C] 100ug $367 10days
AC3474 SERPINA3 Mouse Monoclonal antibody[5G3C] 200ug $660.6 10days

The protein encoded by this gene is a plasma protease inhibitor and member of the serine protease inhibitor class. Polymorphisms in this protein appear to be tissue specific and influence protease targeting. Variations in this protein's sequence have been implicated in Alzheimer's disease, and deficiency of this protein has been associated with liver disease. Mutations have been identified in patients with Parkinson disease and chronic obstructive pulmonary disease.


Aliases:    ACT; AACT; GIG24; GIG25    

Entrez GeneID:    12    

Swissprot :   P01011    

WB Predicted band size:    47.7kDa    

Host/Isotype:    Mouse IgG1    

Species Reactivity:   Human    

Immunogen:    Purified recombinant fragment of human SERPINA3 (AA: 279-432) expressed in E. Coli.    

Operation

WB    1/500 - 1/2000    

IHC    1/200 - 1/1000    

FCM    1/200 - 1/400    

ELISA    1/10000    

References