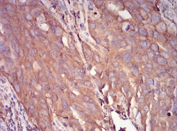
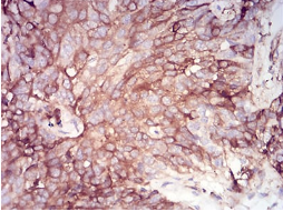
SERPINA1 Mouse Monoclonal antibody[5D1D2]

AccuSift
PI; A1A; AAT; PI1; A1AT; PRO2275; alpha1AT
SKU Name Unit Price Delivery QTY
AC3471 SERPINA1 Mouse Monoclonal antibody[5D1D2] 100ug $367 10days
AC3471 SERPINA1 Mouse Monoclonal antibody[5D1D2] 200ug $660.6 10days

The protein encoded by this gene is secreted and is a serine protease inhibitor whose targets include elastase, plasmin, thrombin, trypsin, chymotrypsin, and plasminogen activator. Defects in this gene can cause emphysema or liver disease. Several transcript variants encoding the same protein have been found for this gene.


Aliases:    PI; A1A; AAT; PI1; A1AT; PRO2275; alpha1AT    

Entrez GeneID:    5265    

Swissprot:    P01009    

WB Predicted band size:    46.7kDa    

Host/Isotype:    Mouse IgG1    

Species Reactivity:    Human    

Immunogen:    Purified recombinant fragment of human SERPINA1 (AA: 23-237) expressed in E. Coli.    

Operation

IHC    1/200 - 1/1000    

IF/ICC    1/200 - 1/1000    

FCM    1/200 - 1/400    

ELISA    1/10000    

References