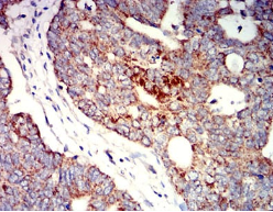
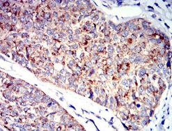
P2RY1 Mouse Monoclonal antibody[4G5B7]

AccuSift
P2Y1
SKU Name Unit Price Delivery QTY
AC3065 P2RY1 Mouse Monoclonal antibody[4G5B7] 100ug $367 10days
AC3065 P2RY1 Mouse Monoclonal antibody[4G5B7] 200ug $660.6 10days

The product of this gene belongs to the family of G-protein coupled receptors. This family has several receptor subtypes with different pharmacological selectivity, which overlaps in some cases, for various adenosine and uridine nucleotides. This receptor functions as a receptor for extracellular ATP and ADP. In platelets binding to ADP leads to mobilization of intracellular calcium ions via activation of phospholipase C, a change in platelet shape, and probably to platelet aggregation.

    

Aliases:    P2Y1    

Entrez GeneID:    5028    

Swissprot:    P47900     

WB Predicted band size :   42kDa    

Host/Isotype:    Mouse IgG2b    

Species Reactivity:    Human    

Immunogen :   Purified recombinant fragment of human P2RY1 (AA: extra mix) expressed in E. Coli.    

Operation

IHC    1/200 - 1/1000    

FCM    1/200 - 1/400    

ELISA    1/10000    

References