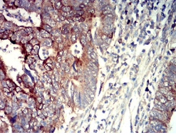
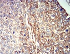
P2RY14 Mouse Monoclonal antibody[5A3F1]

AccuSift
P2Y14; BPR105; GPR105
SKU Name Unit Price Delivery QTY
AC3071 P2RY14 Mouse Monoclonal antibody[5A3F1] 100ug $367 10days
AC3071 P2RY14 Mouse Monoclonal antibody[5A3F1] 200ug $660.6 10days

The product of this gene belongs to the family of G-protein coupled receptors, which contains several receptor subtypes with different pharmacological selectivity for various adenosine and uridine nucleotides. This receptor is a P2Y purinergic receptor for UDP-glucose and other UDP-sugars coupled to G-proteins. It has been implicated in extending the known immune system functions of P2Y receptors by participating in the regulation of the stem cell compartment, and it may also play a role in neuroimmune function. Two transcript variants encoding the same protein have been identified for this gene.

  

Aliases:    P2Y14; BPR105; GPR105    

Entrez GeneID :   9934    

Swissprot:    Q15391    

WB Predicted band size :   39kDa    

Host/Isotype:    Mouse IgG2b    

Species Reactivity :   Human    

Immunogen:    Purified recombinant fragment of human P2RY14 (AA: extra mix) expressed in E. Coli.    

Operation

IHC    1/200 - 1/1000    

IF/ICC    1/200 - 1/1000    

FCM    1/200 - 1/400    

ELISA    1/10000    

References