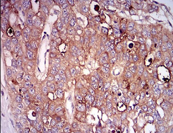
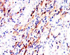
NT5E Mouse Monoclonal antibody[4G6E3]

AccuSift
NT; eN; NT5; NTE; eNT; CD73; E5NT; CALJA
SKU Name Unit Price Delivery QTY
AC3036 NT5E Mouse Monoclonal antibody[4G6E3] 100ug $367 10days
AC3036 NT5E Mouse Monoclonal antibody[4G6E3] 200ug $660.6 10days

The protein encoded by this gene is a plasma membrane protein that catalyzes the conversion of extracellular nucleotides to membrane-permeable nucleosides. The encoded protein is used as a determinant of lymphocyte differentiation. Defects in this gene can lead to the calcification of joints and arteries. Two transcript variants encoding different isoforms have been found for this gene.



Aliases:    NT; eN; NT5; NTE; eNT; CD73; E5NT; CALJA    

Entrez GeneID :   4907    

Swissprot:    P21589       

WB Predicted band size:    63.4kDa    

Host/Isotype :   Mouse IgG1    

Species Reactivity:    Human,Mouse,Rat,Rabbit    

Immunogen:    Purified recombinant fragment of human NT5E (AA: 30-250) expressed in E. Coli.    

Operation

WB    1/500 - 1/2000    

IHC    1/200 - 1/1000    

FCM    1/200 - 1/400    

ELISA    1/10000    

References