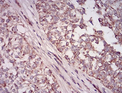
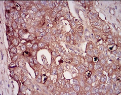
NT5E Mouse Monoclonal antibody[4G610]

AccuSift
NT; eN; NT5; NTE; eNT; CD73; E5NT; CALJA
SKU Name Unit Price Delivery QTY
AC3035 NT5E Mouse Monoclonal antibody[4G610] 100ug $367 10days
AC3035 NT5E Mouse Monoclonal antibody[4G610] 200ug $660.6 10days

The protein encoded by this gene is a plasma membrane protein that catalyzes the conversion of extracellular nucleotides to membrane-permeable nucleosides. The encoded protein is used as a determinant of lymphocyte differentiation. Defects in this gene can lead to the calcification of joints and arteries. Two transcript variants encoding different isoforms have been found for this gene.

    

Aliases:    NT; eN; NT5; NTE; eNT; CD73; E5NT; CALJA    

Entrez GeneID:    4907    

Swissprot :   P21589    

WB Predicted band size:    63.4kDa    

Host/Isotype:    Mouse IgG1    

Species Reactivity :   Human    

Immunogen :   Purified recombinant fragment of human NT5E (AA: 30-250) expressed in E. Coli.    

Operation

WB    1/500 - 1/2000    

IHC    1/200 - 1/1000    

ELISA    1/10000    

References