NT5E Mouse Monoclonal antibody[1D7E9]

AccuSift
NT; eN; NT5; NTE; eNT; CD73; E5NT; NT5E
SKU Name Unit Price Delivery QTY
AC3034 NT5E Mouse Monoclonal antibody[1D7E9] 100ug $367 10days
AC3034 NT5E Mouse Monoclonal antibody[1D7E9] 200ug $660.6 10days

5'-nucleotidase, ecto (NT5E), also known as CD73 (Cluster of Differentiation 73). Ecto-5-prime-nucleotidase (5-prime-ribonucleotide phosphohydrolase; EC 3.1.3.5) catalyzes the conversion at neutral pH of purine 5-prime mononucleotides to nucleosides, the preferred substrate being AMP. The enzyme consists of a dimer of 2 identical 70-kD subunits bound by a glycosyl phosphatidyl inositol linkage to the external face of the plasma membrane. The enzyme is used as a marker of lymphocyte differentiation. Consequently, a deficiency of NT5 occurs in a variety of immunodeficiency diseases (e.g., see MIM 102700, MIM 300300). Other forms of 5-prime nucleotidase exist in the cytoplasm and lysosomes and can be distinguished from ecto-NT5 by their substrate affinities, requirement for divalent magnesium ion, activation by ATP, and inhibition by inorganic phosphate.



Aliases:    eN; NT5; CD73    

Entrez GeneID:    4907    

Swissprot:    P21589     

WB Predicted band size:    70kDa    

Host/Isotype:    Mouse IgG1    

Species Reactivit:y    Human    

Immunogen:    Purified recombinant fragment of NT5E expressed in E. Coli.    

Operation

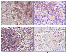
IHC    1/200 - 1/1000    

ELISA    1/10000    

References