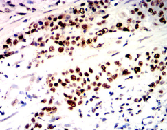
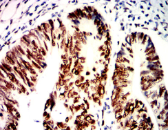
MSH2 Mouse Monoclonal antibody[1H8C1]

AccuSift
FCC1; COCA1; HNPCC; LCFS2; hMSH2; HNPCC1; MMRCS2
SKU Name Unit Price Delivery QTY
AC2880 MSH2 Mouse Monoclonal antibody[1H8C1] 100ug $367 10days
AC2880 MSH2 Mouse Monoclonal antibody[1H8C1] 200ug $660.6 10days

This locus is frequently mutated in hereditary nonpolyposis colon cancer (HNPCC). When cloned, it was discovered to be a human homolog of the E. coli mismatch repair gene mutS, consistent with the characteristic alterations in microsatellite sequences (RER+ phenotype) found in HNPCC. Two transcript variants encoding different isoforms have been found for this gene.



Aliases:    FCC1; COCA1; HNPCC; LCFS2; hMSH2; HNPCC1; MMRCS2    

Entrez GeneID:    4436    

Swissprot  :  P43246      

WB Predicted band size :   104.7kDa    

Host/Isotype :   Mouse IgG1    

Species Reactivity :   Human    

Immunogen:    Purified recombinant fragment of human MSH2 (AA: 2-151) expressed in E. Coli.    

Operation

WB    1/500 - 1/2000    

IHC    1/200 - 1/1000    

FCM    1/200 - 1/400    

ELISA    1/10000    

References