CEA Mouse Monoclonal antibody[1C7G2]

AccuSift
CEA; CD66e; CEACAM5
SKU Name Unit Price Delivery QTY
AC1891 CEA Mouse Monoclonal antibody[1C7G2] 100ug $367 10days
AC1891 CEA Mouse Monoclonal antibody[1C7G2] 200ug $660.6 10days

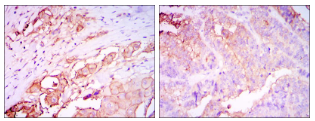
Carcino Embryonic Antigen (CEA) is synthesised during development in the fetal gut, and is re-expressed in increased amounts in intestinal carcinomas and several other tumors. Antibodies to CEA are useful in identifying the origin of various metastatic adenocarcinomas and in distinguishing pulmonary adenocarcinomas (60 to 70% are CEA+) from pleural mesotheliomas (rarely or weakly CEA+).The carcinoembryonic antigen (CEA) is a member of a large family of glycoproteins and a useful tumor marker for adenocarcinoma.Tissue specificity: Found in adenocarcinomas of endodermally derived digestive system epithelium and fetal colon.



Aliases:    CEA; CD66e; DKFZp781M2392; CEACAM5    

Entrez GeneID:    1048    

Swissprot :   P06731    

WB Predicted band size :   77kDa    

Host/Isotype:    Mouse IgG1    

Species Reactivity:    Human    

Immunogen:    Purified recombinant fragment of human CEA expressed in E. Coli.    

Operation

IHC    1/200 - 1/1000    

ELISA    1/10000    

References