CD30 Mouse Monoclonal antibody[1B4G]

AccuSift
Ki-1; D1S166E,TNFRSF8
SKU Name Unit Price Delivery QTY
AC1645 CD30 Mouse Monoclonal antibody[1B4G] 100ug $367 10days
AC1645 CD30 Mouse Monoclonal antibody[1B4G] 200ug $660.6 10days

The protein encoded by this gene is a member of the TNF-receptor superfamily. This receptor is expressed by activated, but not by resting, T and B cells. TRAF2 and TRAF5 can interact with this receptor, and mediate the signal transduction that leads to the activation of NF-kappaB. This receptor is a positive regulator of apoptosis, and also has been shown to limit the proliferative potential of autoreactive CD8 effector T cells and protect the body against autoimmunity. Two alternatively spliced transcript variants of this gene encoding distinct isoforms have been reported.



Aliases:    Ki-1; D1S166E,TNFRSF8    

Entrez GeneID:    943    

Swissprot :   P28908       

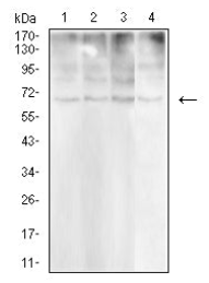
WB Predicted band size:    63.7kDa    

Host/Isotype:    Mouse IgG1     

Species Reactivity:    Human, Mouse    

Immunogen  :  Purified recombinant fragment of human CD30 (AA: 416-595) expressed in E. Coli.    

Operation

WB    1/500 - 1/2000    

IF/ICC    1/50 - 1/200    

FCM    1/200 - 1/400    

ELISA    1/10000    

References