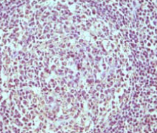
CD19 Mouse Monoclonal antibody[2E2B5]

AccuSift
B4; MGC12802; CD19
SKU Name Unit Price Delivery QTY
AC1549 CD19 Mouse Monoclonal antibody[2E2B5] 100ug $367 10days
AC1549 CD19 Mouse Monoclonal antibody[2E2B5] 200ug $660.6 10days

The CD19 antigen (95kDa) is expressed from the earliest stage of B progenitor development, on all
peripheral B cells including germinal centre B cells, and all B cell lines and B cell leukaemia
tested. T cell and monocytic cell lines are negative and the antigen is lost on B cell maturation
to plasma cells. The antigen is a type I integral membrane glycoprotein whose in vitro inhibition
will influence B cell activation and proliferation.


Aliases:    B4; MGC12802    

Entrez GeneID:    930    

Swissprot :   P15391    

Host/Isotype:    Mouse IgG2b    

Species Reactivity:    Human    

Immunogen:    Purified recombinant fragment of human CD19 expressed in E. Coli.    


Operation

IHC    1/200 - 1/1000    

ELISA    1/10000    


References