CD195 Mouse Monoclonal antibody[6G11D]

AccuSift
CCR5; CKR5; CCR-5; CKR-5; CCCKR5; CMKBR5; IDDM22; CC-CKR-5
SKU Name Unit Price Delivery QTY
AC1555 CD195 Mouse Monoclonal antibody[6G11D] 100ug $367 10days
AC1555 CD195 Mouse Monoclonal antibody[6G11D] 200ug $660.6 10days

This gene encodes a member of the beta chemokine receptor family, which is predicted to be a seven transmembrane protein similar to G protein-coupled receptors. This protein is expressed by T cells and macrophages, and is known to be an important co-receptor for macrophage-tropic virus, including HIV, to enter host cells. Defective alleles of this gene have been associated with the HIV infection resistance. The ligands of this receptor include monocyte chemoattractant protein 2 (MCP-2), macrophage inflammatory protein 1 alpha (MIP-1 alpha), macrophage inflammatory protein 1 beta (MIP-1 beta) and regulated on activation normal T expressed and secreted protein (RANTES). Expression of this gene was also detected in a promyeloblastic cell line, suggesting that this protein may play a role in granulocyte lineage proliferation and differentiation. This gene is located at the chemokine receptor gene cluster region. An allelic polymorphism in this gene results in both functional and non-functional alleles; the reference genome represents the functional allele. Two transcript variants encoding the same protein have been found for this gene.



Aliases:    CCR5; CKR5; CCR-5; CKR-5; CCCKR5; CMKBR5; IDDM22; CC-CKR-5    

Entrez GeneID:    1234    

Swissprot :   P51681       

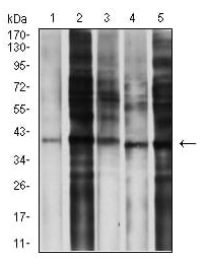
WB Predicted band size :   40.5kDa    

Host/Isotype :   Mouse IgG1    

Species Reactivity :   Human,Rat    

Immunogen:    Purified recombinant fragment of human CD195 (AA: extra mix) expressed in E. Coli.    

Operation

WB    1/500 - 1/2000    

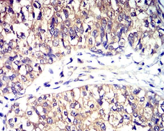
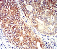
IHC    1/200 - 1/1000    

FCM    1/200 - 1/400    

ELISA    1/10000    

References